Mick & David Easterby: Racing Syndicates and Racehorse Ownership






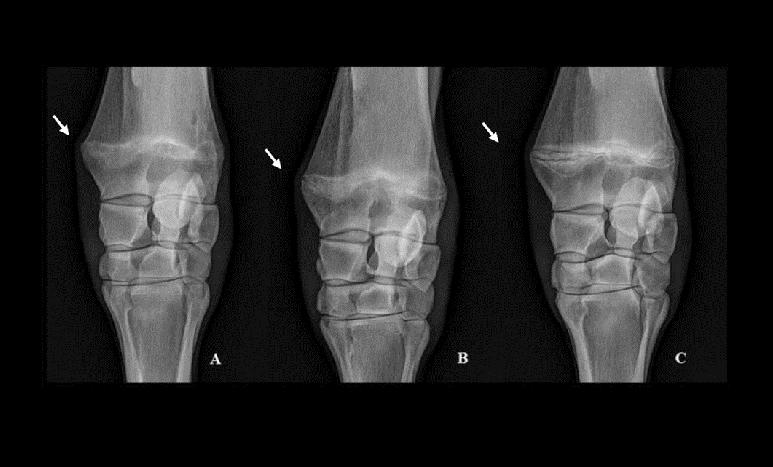
Two-year-old scans — Plates in the Racehorse Carpus



Two-year-old scans — Plates in the Racehorse Carpus


Posted: 15.46 21 Feb 26
Racehorses


It's February and it's time to scan the knees of our two-year-olds to check how the knee plates are developing.

The results of the scans will tell us whether we can continue training and also whether we should increase or decrease the intensity of this training.

But why is this so important?

In the young racehorse, few structures are as important—or as misunderstood—as the growth plates of the distal radius. These physes, sitting just above the knee, are the final zones of active bone growth in the forelimb. Their condition, whether open or closed, shapes everything from training decisions to the interpretation of radiographs during pre‑sale examinations. Understanding how these plates mature is essential for anyone involved in the development of Thoroughbreds and Standardbreds, because the transition from open to closed physes marks the shift from a growing juvenile limb to the fully load‑bearing limb of an athlete.

In the foal and early yearling, the distal radial physis is unmistakably open. On a radiograph it appears as a dark, horizontal band separating the metaphysis from the epiphysis, a reminder that the bone is still lengthening through endochondral ossification. This cartilage zone is biologically active and mechanically vulnerable. The limb is still adapting to weight, conformation, and early exercise, and the physis absorbs forces that would otherwise be transmitted directly into the carpal bones. Because of this, young horses are more prone to developmental conditions such as physitis, and careful management of workload is essential. Trainers and veterinarians often monitor these physes closely, especially in rapidly growing yearlings destined for early training.

As the horse approaches late yearling age, the physis begins to narrow. The radiolucent band becomes thinner and more irregular as cartilage is gradually replaced by bone. This period can be deceptive: the limb may look mature from the outside, but internally the growth plate is still in transition. Many veterinary radiologists emphasise that this is the stage when misinterpretation is most likely. A partially closing physis can mimic pathology, and a young horse may be pushed too quickly if the limb is assumed to be fully mature. The timing of closure varies between individuals, but most racehorses complete distal radial physeal fusion somewhere between two and three years of age.

Once the physis is closed, the radiographic appearance changes dramatically. The once‑distinct line disappears, replaced by a continuous bony bridge between metaphysis and epiphysis. The limb has reached its adult configuration, and the mechanical behaviour of the carpus shifts accordingly. Instead of growth‑plate issues, the mature racehorse becomes susceptible to the classic athletic injuries of the knee: dorsal cortical fractures, carpal chip fractures, and osteoarthritis of the middle and radiocarpal joints. These are the injuries of a limb that is no longer growing but is now absorbing the full impact of training and racing.

The distinction between open and closed physes is not merely academic. It influences purchase decisions at yearling sales, determines whether a horse is ready for early training, and guides the interpretation of radiographs taken for lameness workups. A young horse with open physes may show irregularities that are entirely normal for its age, while the same appearance in a mature horse would be cause for concern. Conversely, a closed physis confirms that the limb has reached skeletal maturity and can tolerate the demands of a racehorse’s workload.

In the end, the story of the distal radial physis is the story of the racehorse's transformation from a growing youngster into a fully fledged athlete. The open plate represents potential, plasticity, and vulnerability; the closed plate marks strength, stability, and readiness for the rigours of training. For breeders, trainers, veterinarians, and buyers, recognising this transition is essential to understanding the horse’s development and safeguarding its future soundness.

Adams (1974), classified as 'A' when the epiphyseal line is completely calcified, 'B' when the center of the epiphyseal line is calcified but not its periphery, and 'C' if there is no perceptible calcification on the epiphyseal line.


Reading a Carpal Radiograph

Reading a carpal radiograph is one of those skills that looks deceptively simple until you sit down with a film and realise just how much is happening inside a racehorse’s knee. The carpus is a compact, layered joint, and the distal radius above it is the last major growth centre in the forelimb. When you know what you're looking for, the radiograph becomes a map: every contour, every shadow, every joint space tells you something about age, soundness, and the stresses of training.

Most clinicians begin with orientation. A lateral view shows the carpus in profile, the distal radius sweeping down into the joint like a column. The radial carpal bone sits directly beneath it, with the intermediate carpal bone tucked just behind, and the ulnar carpal bone forming the back corner of the joint. The accessory carpal bone projects like a hook from the caudal aspect. Once you've located these landmarks, the radiograph stops being a blur of greys and becomes a recognisable structure.

The next step is to study the distal radius itself. In a young horse, the physis is the most striking feature: a dark, horizontal band separating the metaphysis from the epiphysis. Its width, regularity, and sharpness tell you whether the horse is still growing or approaching closure. In a foal or early yearling, the line is broad and clean. As the horse matures, the physis narrows, becomes irregular, and eventually disappears altogether as bone bridges the gap. A closed physis appears as a smooth, continuous contour, and once you’ve seen enough of them, you can tell at a glance whether a horse is skeletally mature.

With the growth plate assessed, attention shifts to the carpal bones. Each bone has its own shape and density, and subtle changes can hint at early pathology. The radial and intermediate carpal bones should have crisp cortical margins and uniform internal opacity. Any flattening, sclerosis, or irregularity along the dorsal aspect may signal the early stages of stress remodelling, particularly in horses entering training. The ulnar carpal bone, smaller and more irregular by nature, often shows variations that are normal, but asymmetry or focal lucencies deserve a second look. The accessory carpal bone, because of its unique position, is a common site for avulsion injuries, and its outline should be checked carefully.

Joint spaces are equally revealing. The radiocarpal and middle carpal joints should appear as clear, even gaps. Narrowing, uneven spacing, or the presence of small mineralised fragments can indicate osteoarthritis or chip fractures. In young horses, the joint spaces may appear slightly wider, reflecting the softer cartilage and ongoing development. In older racehorses, the opposite is often true: repeated loading can lead to sclerosis of the subchondral bone and a tightening of the joint margins.

Finally, the soft tissues deserve a moment. Although radiographs are not the best tool for evaluating tendons and ligaments, swelling, displacement of fat planes, or changes around the accessory carpal bone can hint at underlying strain or inflammation. In a racehorse, these subtle signs often appear before overt lameness, making them valuable clues.

Reading a carpal radiograph is ultimately an exercise in pattern recognition. You learn the normal shapes, the expected densities, the typical variations, and then you begin to notice the deviations—some harmless, some significant. In the young horse, the radiograph tells a story of growth and potential; in the seasoned campaigner, it reveals the history of training, the miles on the clock, and the resilience of the limb. With practice, the carpus becomes one of the most expressive joints in the horse, and a single radiograph can speak volumes about where a horse has been and where it may be headed.

Left (open): Wide physis line separating metaphyseal flare from proximal carpus - classic 'open knee' appearance in a young racehorse. Right (closed): No visible physis, bone is continuous. Indicates skeletal maturity and readiness for training.